대한성형외과의사회 2024년 최우수회원 성형외과전문의 윤형우
대한성형외과의사회 2024년 최우수회원 성형외과전문의 손형빈
대한성형외과의사회 2025년 최우수회원 성형외과전문의 손형빈
- 절개눈성형
- 한나이브를선택하는이유, 안전과결과중심의한나이브
- 눈성형
-
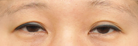
한나이브성형외과눈성형 시술사례
- 눈매교정술
-
-
성형외과 전문의 6인
지역유일! 각 분야별 전문 의료진 구성
지역에서 가장 많은 성형외과전문의가 모여있는 곳! -
단 한명의 고객만을 위한 디자인한나이브 눈성형은 고객의 요구사항을 토대로
얼굴 전체의 분위기, 연령대, 이목구비의 위치 등을
면밀하게 분석해 개개인의 특징을 파악하고
그 특징에 맞는 세련된 디자인을 제안합니다.
-
멀티 소독 시스템멸균소독 & EO가스 소독 1회용 도구 사용 등
한 건의 수술이 종료될 때 마다 수술실과 수술도구를
살균소독하여 사용합니다. -
확실한 안전 시스템수면마취로 진행이 되는 눈성형에도
BLS Provider(미국심폐소생회원)이자 성형외과전문의가
집도하여 혹시 모를 응급상황에 대처합니다.
-
한나이브성형외과피부과
한나이브 상담신청
실시간 빠른 상담을 신청하시면 상담원이 신속히 답변해드리겠습니다.
한나이브성형외과피부과
한나이브 상담신청
실시간 빠른 상담을 신청하시면 상담원이 신속히 답변해드리겠습니다.
※ 시술 후 통증, 감염, 염증 등의 부작용이 발생할 수 있으니, 시술 전 해당 시술 부위에 대한 전문적인 지식을 갖춘 의료진인지 꼼꼼히 확인해보시길 바랍니다.











































